Área do Dentista

  • Com a nossa Área do Dentista é possível visualizar e baixar os exames.
  • Tenha todos os exames de seus paciente de forma digital.
  • Menos papel, mais sustentabilidade.

Radiografia Panorâmica

Radiografia panorâmica é um raio-x sobre o complexo maxilo-mandibular. É uma das técnicas radiográficas mais solicitadas e difundidas em todas as especialidades da Odontologia, onde a visualização de todos os elementos dentais e suas estruturas anatômicas são de fácil compreensão para o dentista.

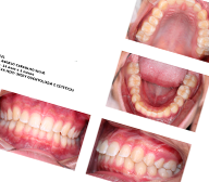
Documentação Ortodontica

Documentação Ortodôntica é um conjunto de exames (radiografias, fotografias intra e extra-bucais) cuja finalidade é proporcionar uma visão abrangente do paciente, permitindo maior detalhamento e entendimento do caso pelo dentista.

Contato e localização